What is Orthodontics?

Orthodontics is a specialist field of dentistry focused on the diagnosis, prevention, and treatment of misaligned teeth and jaw relationships. These problems are known as malocclusions and are commonly referred to as a “bad bite”.

Malocclusions can affect dental health, jaw function, facial balance, and long-term comfort. Common orthodontic concerns include difficulty or discomfort when chewing, jaw or facial muscle pain, permanent teeth erupting in the wrong position, speech difficulties, crowded or spaced teeth, and excessive overbite or underbite.

Orthodontic treatment aims to improve how the teeth and jaws work together, while also enhancing facial harmony and smile aesthetics.

Our Orthodontic Philosophy

Orthodontics is one of the most widely discussed and often misunderstood areas of dentistry. While online information has become more accessible, it has also led to an increase in misinformation, particularly around orthodontic treatment options, timelines, and long-term outcomes.

You may encounter treatments promoted as offering faster results or revolutionary outcomes. In our experience, meaningful and stable orthodontic results require careful planning, appropriate timing, and specialist oversight rather than shortcuts.

For many years, Dee Why Orthodontics has helped families across the Dee Why, the Northern Beaches and greater Sydney navigate orthodontic care with clarity and confidence. Our practice has built a strong reputation as a trusted source of sensible, evidence-based orthodontic advice for patients, referring dentists, and other health professionals.

At Dee Why Orthodontics, we take a conservative and thoughtful approach to orthodontic care. Every recommendation is guided by what is clinically appropriate and in the patient’s long-term best interests. Each patient is treated as we would treat our own family, with honest advice about whether orthodontic treatment is needed and which options are most suitable.

 
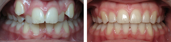
01+Before+&+After+Orthodontics.png
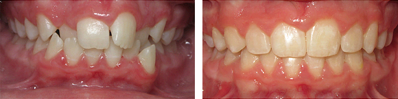
02+Before+&+After+Orthodontics.png
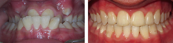
04+Before+&+After+Orthodontics.png
 

Common Orthodontic treatments

Orthodontic treatment varies depending on age, growth, and individual dental development. The most appropriate approach is determined by assessing how the teeth and jaws are developing, as well as the timing that will achieve the most stable long-term result.

Orthodontics for Children
In growing children, orthodontic treatment may involve monitoring development or, in selected cases, using functional orthopaedic appliances to help guide jaw growth or improve jaw relationships. These appliances aim to influence how the upper and lower jaws relate to one another during growth.

Not all children require early treatment, and careful observation is often appropriate. A specialist orthodontic assessment helps determine whether early intervention is beneficial or whether treatment is best deferred.

Expanders
In selected cases, an orthodontic expander may be used to widen the upper jaw when there is a true transverse discrepancy, such as a narrow upper arch or crossbite. Expanders work by gently increasing the width of the upper jaw during growth, creating a more balanced bite relationship and adequate space for the teeth.

Not all children with crowding or bite concerns require an expander, and timing is critical. In many situations, careful monitoring and later treatment can achieve the same outcome with less intervention. A specialist orthodontic assessment helps determine whether expansion is necessary, beneficial, or whether observation is the most appropriate approach.

When recommended, expanders are used with clear clinical objectives and as part of a broader, staged treatment plan.

Braces
Once jaw development is appropriate and most permanent teeth have erupted, fixed braces are commonly used to straighten teeth and refine the bite. Braces allow for precise control of tooth movement and are often used to manage more complex alignment or bite concerns.

The timing of treatment varies depending on individual development and clinical needs.

Invisalign and Clear Aligners
For teenagers and adults, orthodontic treatment may involve braces or clear aligner therapy. Invisalign is a form of clear aligner treatment that uses a series of custom-made, removable aligners to gradually move the teeth into their ideal positions. It is a popular option for patients seeking a more discreet alternative to fixed braces.